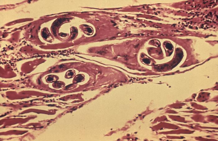
Tichinella nelsoni es un gusano redondo intestinal que pertenece al filo de los Nematodos. La parte anterior del cuerpo está ocupada por un estilete y un esticosoma (esófago glandular), la parte posterior es redondeada. La hembra mide de 3 a 4 milímetros de longitud y unas 60 micras de diámetro. Los machos miden aproximadamente la mitad que la hembra y en el extremo posterior presentas dos apéndices caudales lobulares.
Su ciclo de vida se realiza en un único hospedador, comienza cuando un carnívoro come carne que contiene las larvas enquistadas (en un gramo de carne puede haber miles de quistes). Una vez en el intestino delgado del hospedador las larvas se liberan, se transforman en adultos y tras la cópula, que sucede en la mucosa intestinal del hospedador, los machos mueren, mientras que las hembras penetran en la mucosa intestinal y ponen de 500 a 1000 larvas. Las nuevas larvas migran, a través de la sangre o de la linfa, hacia otros órganos o tejidos del hospedador, pero su desarrollo solo se produce en la musculatura estriada del hospedador (músculos mandibulares, oculares, deltoides, lengua, etc.) dónde la mayoría de las especies se encapsulan formando un quiste. Dentro del quiste la larva permanece viva durante años (2).
Viabilidad, propagación y transmisión
Reservorio
Animales mamíferos terrestres y marinos carnívoros y omnívoros (osos, focas, morsas, zorros, ballenas belugas, entre otros) (2) (4).
Hospedadores
Humanos y los animales citados en el apartado “Reservorio”.
Dosis Infectiva Mínima (DIM)
El hombre necesita ingerir de 70 a 300 larvas para infectarse, pero esta dosis puede variar dependiendo de la especie de Trichinella implicada, de la susceptibilidad del hospedador y del método de preparación de la carne (1).
Supervivencia ambiental
Las larvas y sobre todo las enquistadas sobreviven en la carne en putrefacción mucho tiempo (9) (10).
Formas de resistencia
Las larvas enquistadas son muy resistentes, soportan temperaturas de refrigeración de 2-4 ˚C hasta 300 días y temperaturas de congelación de -15 ˚C hasta 20 días.
Mecanismo de propagación y transmisión
La transmisión se debe fundamentalmente por la ingesta de carne cruda o mal cocida contaminada con las larvas o los quistes, principalmente carne de cerdo o de jabalí (zoonosis).
No hay evidencia de transmisión de persona a persona.
Vías de entrada
Digestiva.
Distribución geográfica
África tropical y oriental (10).
Efectos sobre la salud
Grupo de riesgo
2
(Ver Anexo II RD 664/1997 )Infección
Triquinosis o triquinelosis: es una enfermedad que puede cursar de forma leve o grave en función del número de larvas ingeridas. Al principio (fase intestinal) la enfermedad se manifiesta con fiebre acompañada de síntomas intestinales como inflamación del intestino, gastroenteritis con dolor, náuseas, diarrea o estreñimiento y vómitos. Después (fase muscular) aparecen síntomas como fiebre elevada, edema periorbital, edema facial, edema en extremidades en casos severos, mialgias, cefalea, erupciones cutáneas, eosinofilia, hemorragias conjuntivales y subungueales. Finalmente, en la fase crónica se reduce la fiebre, pero los síntomas musculares y la fatiga pueden persistir.
En los ancianos, en las personas con mucha carga del parásito o en las personas con un diagnóstico tardío, pueden aparecer complicaciones neurológicas, cardíacas y respiratorias que conduzcan a la muerte debido a la penetración de las larvas en el sistema nervioso, en el músculo cardíaco o en los pulmones (3).
Efectos alérgicos (Ver Anexo II RD 664/1997 ) / (Ver Allergen )
No se han descrito
Efectos tóxicos (Ver Anexo II RD 664/1997 )
No se han descrito
Efectos cancerígenos (Ver International Agency for Research On Cancer - IARC )
No se han descrito
Efectos en la maternidad
La enfermedad, puede causar aborto o nacimiento prematuro. No se conoce la forma de transmisión congénita y la mayoría de las mujeres infectadas han tenido bebés saludables (1) (8).
Enfermedad
| CIE-10 | Nombre | Enfermedad de Declaración Obligatoria |
|---|---|---|
| B75 | Triquinosis | Sí |
Actividades laborales con riesgo
Clasificación Nacional de Actividades Económicas (CNAE)
| CNAE 2009 | Descripción |
|---|---|
| A0141 | Explotación de ganado bovino para la producción de leche |
| A0142 | Explotación de otro ganado bovino y búfalos |
| A0143 | Explotación de caballos y otros equinos |
| A0144 | Explotación de camellos y otros camélidos |
| A0145 | Explotación de ganado ovino y caprino |
| A0146 | Explotación de ganado porcino |
| A0148 | Otras explotaciones de ganado |
| A0150 | Producción agrícola combinada con la producción ganadera |
| A0162 | Actividades de apoyo a la ganadería |
| A0170 | Caza, captura de animales y servicios relacionados |
| C1011 | Procesado y conservación de carne, excepto volatería |
| C1013 | Elaboración de productos cárnicos y de volatería |
| C1092 | Fabricación de productos para la alimentación de animales de compañía |
| G4611 | Actividades de intermediarios del comercio al por mayor de materias primas agrarias, animales vivos, materias primas textiles y productos semielaborados |
| G4623 | Comercio al por mayor de animales vivos |
| G4632 | Comercio al por mayor de carne, productos cárnicos; pescado y productos del pescado |
| N7210 | Investigación y desarrollo experimental en ciencias naturales y técnicas |
| N7500 | Actividades veterinarias |
| R8699 | Otras actividades sanitarias n.c.o.p. |
| S9141 | Actividades de los jardines botánicos y los parques zoológicos |
Clasificación Nacional de Ocupaciones (CNO)
| CNO 2011 | Descripción |
|---|---|
| 2130 | Veterinarios |
| 2421 | Biólogos, botánicos, zoólogos y afines |
| 2425 | Ingenieros técnicos forestales y del medio natural |
| 3141 | Técnicos en ciencias biológicas (excepto en áreas sanitarias) |
| 3142 | Técnicos agropecuarios |
| 3143 | Técnicos forestales y del medio natural |
| 3313 | Técnicos en anatomía patológica y citología |
| 3314 | Técnicos en laboratorio de diagnóstico clínico |
| 3327 | Ayudantes de veterinaria |
| 5893 | Cuidadores de animales y adiestradores |
| 5993 | Agentes forestales y medioambientales |
| 6201 | Trabajadores cualificados en actividades ganaderas de vacuno |
| 6202 | Trabajadores cualificados en actividades ganaderas de ovino y caprino |
| 6203 | Trabajadores cualificados en actividades ganaderas de porcino |
| 6209 | Trabajadores cualificados en actividades ganaderas no clasificados bajo otros epígrafes |
| 6300 | Trabajadores cualificados en actividades agropecuarias mixtas |
| 6410 | Trabajadores cualificados en actividades forestales y del medio natural |
| 6423 | Pescadores de altura |
| 6430 | Trabajadores cualificados en actividades cinegéticas |
| 7701 | Matarifes y trabajadores de las industrias cárnicas |
| 9520 | Peones ganaderos |
| 9530 | Peones agropecuarios |
| 9541 | Peones de la pesca |
| 9543 | Peones forestales y de la caza |
Prevención y control
Desinfectantes
Mezclas uno a uno de xilol y etanol al 95 % y de fenol y xilol son eficaces contra las etapas infecciosas de los nematodos (10).
Inactivación física
Las larvas se inactivan con radiación a 0,3 kGy y con calor a 71 ˚C durante al menos 1 minuto, a 58 ˚C durante 3 minutos y a 51 ˚C durante 4 horas (10).
Antimicrobianos
Albendazol, mebendazol y pamoato de pirantel.
Vacunación
No disponible
Medidas preventivas generales
Control sanitario del ganado y sus productos (carne) según la legislación específica.
Diseño adecuado de los locales de trabajo, con superficies impermeables, lisas y fáciles de limpiar.
Control de vectores. Desratización y desinsectación.
Evitar que animales salvajes, incluidas las aves entren en las granjas o en contacto con animales domésticos.
Cocinar bien la carne a 71 ˚C al menos 1 minuto de forma que se alcance esta temperatura en todo el producto de forma homogénea.
Correctas medidas de higiene en el puesto de trabajo: lavado frecuente de manos, no comer, no beber con las manos sucias. Utilización de ropa de trabajo y equipos de protección individual.
Precauciones en centros sanitarios
En hospitales o centros sanitarios, adoptar las Precauciones Estándar (11).
EPI
Protección de las manos: guantes impermeables para manipular especímenes o materiales que pueden estar contaminados.
Protección ocular y facial: pantalla de protección facial (símbolo de marcado en montura: 3) en caso de riesgo de exposición a salpicaduras.
Seguridad en laboratorio
Nivel de contención: 2
El principal riesgo en laboratorio es la ingesta accidental.
Las muestras o especímenes más peligrosos son los procedentes de tejidos musculares como el diafragma, la lengua y los músculos maseteros.
Se requieren las prácticas y la contención de un nivel de bioseguridad 2, junto con el uso de guantes impermeables y ropa de trabajo para manipular muestras o animales infectados. También el uso de cabina de seguridad biológica cuando se puedan producir bioaerosoles o se trabaje con grandes cantidades de muestra contaminada. Se debe evitar o reducir el uso de material cortante o punzante. Además de la eliminación adecuada de residuos.
Bibliografía
- Agence nationale de sécurite sanitaire de l’alimentation de environnement et du travail (Anses). Fiche de description de danger biologique transmissible par les aliments. Trichinella spp. 2011.
- Centers for Disease Control and Prevention (CDC). DPDx - Laboratory Identification of Parasites of Public Health Concern. 2017.
- Centers for Disease Control and Prevention (CDC). Parasites- Trichinellosis (also known as Trichinosis). 2020.
- Food and Agriculture Organization of the United Nations (FAO).World Health Organization (WHO). World Organisation for Animal Health (OIE). Guidelines for surveillance, management, prevention and control of trichinellosis. 2007.
- Instituto de Salud Carlos III. Protocolos de la Red Nacional de Vigilancia Epidemiológica. PROTOCOLO DE VIGILANCIA DE TRIQUINOSIS (TRIQUINELOSIS). 2016.
- Institut National de Recherche et de Sécurité (INRS). BAse d'OBservation des Agents Biologiques. Trichinella spiralis. 2019.
- Instituto Nacional de Seguridad y Salud en el Trabajo (INSST). Notas Técnicas de Prevención. NTP: 411, 468, 545, 901, 938.
- Ministerio de Salud Argentina. Guía para la prevención y el control de la TRIQUINOSIS/TRICHINELLOSIS en la República Argentina. 2021.
- Organización Mundial de Sanidad Animal (Oie). Triquinelosis. 2021
- Public Health Agency of Canada. Pathogen Safety Data Sheets and Risk Assessment. Trichinella spp. 2011.
- Servicio Riojano de Salud. Precauciones de aislamiento en centros sanitarios. 2008.

