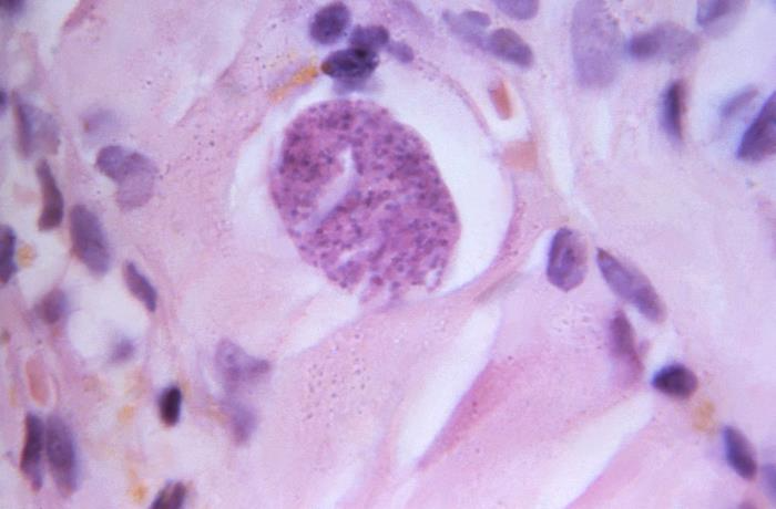
Toxoplasma gondii es un protozoo parásito intracelular obligado, perteneciente al filo Apicomplexa. Su ciclo de vida comprende diferentes estadíos. Las formas infectantes son los esporozoítos contenidos en el ooquiste esporulado, los bradizoitos contenidos en el quiste y los taquizoitos contenidos en el pseudoquiste con forma de banana de 7-8 micras de tamaño.
Su ciclo de vida comienza cuando el hospedador definitivo (felinos) ingiere el ooquiste esporulado presente en el agua, en la vegetación o ingiere los quistes o pseudoquistes presentes en carne cruda de hospedadores intermediarios (mamíferos y aves). En el intestino del felino el parásito continúa su ciclo y nuevos ooquistes son liberados con las heces. En el exterior los ooquistes esporulan al cabo de 1 a 5 días.
Los ooquistes esporulados, los quistes o pseudoquistes también pueden ser ingeridos por un hospedador intermediario, en este caso el parásito migra a través de la circulación sanguínea del intestino a otros órganos y tejidos del hospedador, quedando encerrado en una célula conocida como pseudoquiste, donde el parásito se multiplica y se libera infectando nuevas células, con el tiempo el pseudoquiste puede calcificarse y formar un quiste de hasta 100 micras de tamaño (1) (3) (11).
Viabilidad, propagación y transmisión
Reservorio
Humanos, mamíferos (felinos, ovinos, caprinos, bovinos, porcinos, roedores), aves, suelo, vegetación, agua, alimentos (carne cruda, vegetales).
Hospedadores
Humanos y la mayoría de mamíferos y aves.
Dosis Infectiva Mínima (DIM)
10 ooquistes esporulados en huéspedes intermediarios (8).
Supervivencia ambiental
Los ooquistes esporulados son muy resistentes a las condiciones ambientales, pudiendo sobrevivir y permanecer infectivos mucho tiempo en el agua, heces, suelo húmedo o vegetación. Se ha documentado que pueden sobrevivir aproximadamente 4 semanas a temperaturas de -10ºC y unos 32 días a temperaturas de 35ºC. Pero no sobreviven bien en climas áridos y fríos (11).
Los quistes tisulares pueden sobrevivir durante semanas a temperatura ambiente, y los taquizoitos pueden sobrevivir un día en fluidos corporales, más de una semana en leche de cabra y hasta 50 días en sangre mantenida a 4ºC (1) (11).
Formas de resistencia
Los ooquistes son resistentes a muchos desinfectantes, incluida la lejía o la cloración del agua (1) (11).
Mecanismo de propagación y transmisión
La transmisión se produce principalmente por la ingesta de carne cruda o mal cocida con el quiste o el pseudoquiste (zoonosis) y por la ingesta de leche, agua, vegetales u otros alimentos contaminados con el ooquiste. Los alimentos también se pueden contaminar al manipularlos en malas condiciones higiénicas (contaminación cruzada).
Otras formas de transmisión son la ingesta accidental de ooquistes presentes en el suelo, tierra u otros materiales contaminados, el contacto con suelo contaminado y la inoculación de sangre infectada o la inoculación de los taquizoitos o bradizoitos presentes en el pseudoquiste o quiste.
Las heces de gatos frescas no son infectantes, tiene que pasar un período de 1-5 días en condiciones adecuadas para que se produzca la esporulación de los ooquistes (3).
Los artrópodos contribuyen a la dispersión de los ooquistes. También algunos peces y moluscos (mejillones y almejas) pueden actuar como hospedadores mecánicos y transmitir el parásito a mamíferos marinos u otros (11).
No se transmite de persona a persona, salvo de la madre al feto por vía transplacentaría y por el trasplante de órganos o la transfusión de sangre (8).
Vías de entrada
Digestiva. Mucosa. Percutánea. Transplacentaria.
Distribución geográfica
Mundial.
Efectos sobre la salud
Grupo de riesgo
2
(Ver Anexo II RD 664/1997 )Infección
Toxoplasmosis: infección que suele cursar de forma asintomática. En caso de síntomas, suelen ser leves y remiten al cabo de varias semanas, entre ellos: astenia, cefalea, febrícula, mialgias, inflamación de los ganglios linfáticos, neumonía y dolores abdominales. En algunos casos puede producirse daño ocular (coriorretinitis) con manifestaciones como: visión reducida, visión borrosa, sensibilidad a la luz (fotofobia), enrojecimiento, lagrimeo. También, muy raramente en personas inmunocompetentes, se puede dar una diseminación a otros órganos. Cuando el parásito deja de dividirse, se forma un quiste la infección se hace crónica manteniéndose en estado de latencia y pudiéndose reactivar en caso de inmunodepresión del hospedador (1) (3) (8) (11).
En individuos inmunodeprimidos, la toxoplasmosis es una infección oportunista con consecuencias fatales como neumonitis, miocarditis y encefalitis.
Efectos alérgicos (Ver Anexo II RD 664/1997 ) / (Ver Allergen )
No se han descrito
Efectos tóxicos (Ver Anexo II RD 664/1997 )
No se han descrito
Efectos cancerígenos (Ver International Agency for Research On Cancer - IARC )
No se han descrito
Efectos en la maternidad
El principal riesgo es en el caso de embarazada con serología negativa (primoinfección durante el embarazo).
La transmisión al feto se produce por vía transplacentaria, el riesgo de transmisión al feto es menor durante el primer trimestre de embarazo, pero las consecuencias son más graves que si la transmisión se produce en la segunda mitad del embarazo. Los daños pueden ser: aborto, mortinato, malformaciones, daños severos en el sistema nervioso central, hidrocefalia, calcificaciones cerebrales, convulsiones, coriorretinitis, etc. (toxoplasmosis congénita) (3).
No se transmite por la leche materna (3) (5).
La reactivación de la toxoplasmosis en embarazadas inmunodeprimidas que estaban infectadas antes de su embarazo, parece que puede producir una infección congénita (3) (11).
Enfermedad
| CIE-10 | Nombre | Enfermedad de Declaración Obligatoria |
|---|---|---|
| B58 | Toxoplasmosis | No |
| P37.1 | Toxoplasmosis congénita | Sí |
Actividades laborales con riesgo
Clasificación Nacional de Actividades Económicas (CNAE)
| CNAE 2009 | Descripción |
|---|---|
| A0111 | Cultivo de cereales, distintos de arroz, leguminosas y oleaginosas |
| A0112 | Cultivo de arroz |
| A0113 | Cultivo de hortalizas, raíces y tubérculos |
| A0114 | Cultivo de caña de azúcar |
| A0116 | Cultivo de plantas para fibras textiles |
| A0121 | Cultivo de la vid |
| A0122 | Cultivo de frutos tropicales y subtropicales |
| A0123 | Cultivo de cítricos |
| A0124 | Cultivo de frutos con hueso y pepitas |
| A0125 | Cultivo de otros árboles y arbustos frutales y frutos secos |
| A0126 | Cultivo de frutos oleaginosos |
| A0127 | Cultivo de plantas para bebidas |
| A0128 | Cultivo de especias, plantas aromáticas, medicinales y farmacéuticas |
| A0129 | Otros cultivos perennes |
| A0130 | Propagación de plantas |
| A0141 | Explotación de ganado bovino para la producción de leche |
| A0142 | Explotación de otro ganado bovino y búfalos |
| A0143 | Explotación de caballos y otros equinos |
| A0144 | Explotación de camellos y otros camélidos |
| A0145 | Explotación de ganado ovino y caprino |
| A0146 | Explotación de ganado porcino |
| A0147 | Avicultura |
| A0148 | Otras explotaciones de ganado |
| A0150 | Producción agrícola combinada con la producción ganadera |
| A0161 | Actividades de apoyo a la agricultura |
| A0162 | Actividades de apoyo a la ganadería |
| A0163 | Actividades de preparación posterior a la cosecha y tratamiento de semillas para reproducción |
| A0170 | Caza, captura de animales y servicios relacionados |
| A0210 | Silvicultura y otras actividades forestales |
| B0510 | Extracción de antracita y hulla |
| B0520 | Extracción de lignito |
| B0710 | Extracción de minerales de hierro |
| B0721 | Extracción de minerales de uranio y torio |
| B0729 | Extracción de otros minerales metálicos no férreos |
| B0899 | Otras industrias extractivas n.c.o.p. |
| B0990 | Actividades de apoyo a otras industrias extractivas |
| C1011 | Procesado y conservación de carne, excepto volatería |
| C1012 | Procesado y conservación de volatería |
| E3600 | Captación, depuración y distribución de agua |
| E3700 | Recogida y tratamiento de aguas residuales |
| E3811 | Recogida de residuos no peligrosos |
| F4211 | Construcción de carreteras y autopistas |
| F4212 | Construcción de vías férreas de superficie y subterráneas |
| F4213 | Construcción de puentes y túneles |
| F4221 | Construcción de redes para fluidos |
| F4291 | Obras hidráulicas |
| F4299 | Construcción de otros proyectos de ingeniería civil n.c.o.p. |
| F4312 | Preparación de terrenos |
| F4313 | Perforaciones y sondeos |
| F4322 | Fontanería, instalación de sistemas de calefacción y aire acondicionado |
| G4623 | Comercio al por mayor de animales vivos |
| G4632 | Comercio al por mayor de carne, productos cárnicos; pescado y productos del pescado |
| N7210 | Investigación y desarrollo experimental en ciencias naturales y técnicas |
| N7500 | Actividades veterinarias |
| O8123 | Otras actividades de limpieza |
| O8130 | Actividades de jardinería |
| S9141 | Actividades de los jardines botánicos y los parques zoológicos |
| S9329 | Actividades recreativas y de entretenimiento n.c.o.p. |
| T9630 | Pompas fúnebres y actividades relacionadas |
Clasificación Nacional de Ocupaciones (CNO)
| CNO 2011 | Descripción |
|---|---|
| 2130 | Veterinarios |
| 2421 | Biólogos, botánicos, zoólogos y afines |
| 2422 | Ingenieros agrónomos |
| 2423 | Ingenieros de montes |
| 2424 | Ingenieros técnicos agrícolas |
| 2425 | Ingenieros técnicos forestales y del medio natural |
| 2432 | Ingenieros en construcción y obra civil |
| 2436 | Ingenieros de minas, metalúrgicos y afines |
| 2454 | Ingenieros geógrafos y cartógrafos |
| 2462 | Ingenieros técnicos de obras públicas |
| 2483 | Ingenieros técnicos en topografía |
| 2821 | Sociólogos, geógrafos, antropólogos, arqueólogos y afines |
| 3122 | Técnicos en construcción |
| 3128 | Técnicos en metalurgia y minas |
| 3132 | Técnicos en instalaciones de tratamiento de residuos, de aguas y otros operadores en plantas similares |
| 3141 | Técnicos en ciencias biológicas (excepto en áreas sanitarias) |
| 3142 | Técnicos agropecuarios |
| 3143 | Técnicos forestales y del medio natural |
| 3313 | Técnicos en anatomía patológica y citología |
| 3314 | Técnicos en laboratorio de diagnóstico clínico |
| 3327 | Ayudantes de veterinaria |
| 5892 | Empleados de pompas fúnebres y embalsamadores |
| 5893 | Cuidadores de animales y adiestradores |
| 5992 | Bañistas-socorristas |
| 5993 | Agentes forestales y medioambientales |
| 6110 | Trabajadores cualificados en actividades agrícolas (excepto en huertas, invernaderos, viveros y jardines) |
| 6120 | Trabajadores cualificados en huertas, invernaderos, viveros y jardines |
| 6201 | Trabajadores cualificados en actividades ganaderas de vacuno |
| 6202 | Trabajadores cualificados en actividades ganaderas de ovino y caprino |
| 6203 | Trabajadores cualificados en actividades ganaderas de porcino |
| 6205 | Trabajadores cualificados en la avicultura y la cunicultura |
| 6209 | Trabajadores cualificados en actividades ganaderas no clasificados bajo otros epígrafes |
| 6410 | Trabajadores cualificados en actividades forestales y del medio natural |
| 6430 | Trabajadores cualificados en actividades cinegéticas |
| 7701 | Matarifes y trabajadores de las industrias cárnicas |
| 8111 | Mineros y otros operadores en instalaciones mineras |
| 8113 | Sondistas y trabajadores afines |
| 8160 | Operadores de máquinas para elaborar productos alimenticios, bebidas y tabaco |
| 8331 | Operadores de maquinaria de movimientos de tierras y equipos similares |
| 9229 | Otro personal de limpieza |
| 9441 | Recogedores de residuos |
| 9442 | Clasificadores de desechos, operarios de punto limpio y recogedores de chatarra |
| 9443 | Barrenderos y afines |
| 9511 | Peones agrícolas (excepto en huertas, invernaderos, viveros y jardines) |
| 9512 | Peones agrícolas en huertas, invernaderos, viveros y jardines |
| 9520 | Peones ganaderos |
| 9530 | Peones agropecuarios |
| 9543 | Peones forestales y de la caza |
| 9601 | Peones de obras públicas |
| 9602 | Peones de la construcción de edificios |
| 9603 | Peones de la minería, canteras y otras industrias extractivas |
| 9700 | Peones de las industrias manufactureras |
| 9811 | Peones del transporte de mercancías y descargadores |
Prevención y control
Desinfectantes
Los taquizoitos y los quistes tisulares son sensibles a la mayoría de los desinfectantes, al etanol al 70% y al hipoclorito sódico al 1% (11).
El ooquiste es sensible a yodo, formalina y amoníaco. La tintura de yodo al 2% puede inactivarlo tras un tiempo de contacto de al menos 3 horas (11).
Inactivación física
Los ooquistes se inactivan rápidamente a temperaturas superiores a 66ºC y con irradiación gamma a dosis de 0,5 kGy. Una congelación de - 20°C es insuficiente para inactivar completamente todos los ooquistes (1) (8) (11).
Los quistes tisulares se inactivan con calor a 67ºC durante 1 minuto, a 50ºC durante más 10 minutos y con irradiación a dosis de 1,0 kGy. La congelación a -12ºC durante 2 o 3 días destruye un alto porcentaje de quistes y la congelación a -20ºC al menos 2 días. Los taquizoitos se inactivan a un pH < 4 (1) (8) (11).
Antimicrobianos
Pirimetamina, espiramicina, clindamicina, sulfadiacina y ácido folínico, trimetoprima-sulfametoxazol, atovacuona, azitromicina (3).
Vacunación
No disponible
Medidas preventivas generales
Control higiénico-sanitario de los animales y de las materias primas: carnes, vegetales y agua.
Instalaciones de trabajo adecuadas con superficies lisas de fácil limpieza y desinfección, disponibilidad de agua corriente, lavabos, jabón y material para el secado, vestuarios y lugares adecuados para guardar el equipo de protección y la ropa contaminada.
Implantar programas de control de vectores: desratización, desinsectación.
Manipulación y eliminación adecuada de residuos (excrementos de los gatos).
Almacenar y preparar los alimentos en condiciones higiénicas adecuadas y cocinar adecuadamente los alimentos crudos.
Correctas medidas de higiene en el puesto de trabajo: lavado frecuente de manos, después del contacto con animales o materiales contaminados, después de quitarse los guantes, antes de las comidas y al final de la jornada. No comer o fumar con las manos sucias. Utilizar ropa de trabajo y equipos de protección individual.
Precauciones en centros sanitarios
EPI
Protección de las manos: guantes frente a microorganismos en la manipulación de materiales contaminados.
Protección ocular o facial: gafa de protección de montura universal en caso de riesgo de contacto accidental mano/guante contaminado-ojo, o pantalla de protección facial (símbolo de marcado en montura: 3) en caso de riesgo de exposición a salpicaduras.
Seguridad en laboratorio
Nivel de contención: 2
El principal riesgo es la ingesta y la inoculación accidental, así como las proyecciones y las salpicaduras sobre la piel lesionada o las mucosas.
Los especímenes y muestras más peligrosas son: tejidos, sangre, esputo, orina, semen, heces, agua, suelo, vacunas vivas para ovinos y alimentos contaminados con quistes, pseudoquistes u ooquistes (8) (11).
Se requieren las prácticas y la contención de un nivel 2 de bioseguridad al manipular las muestras que puedan contener el estado infeccioso del parásito (esporozoíto, taquizoito y bradizoito), se debe evitar o reducir al mínimo el empleo de material cortante o punzante y trabajar dentro de una cabina de seguridad biológica en aquellas operaciones que impliquen la generación de bioaerosoles, proyecciones o salpicaduras. Además del uso de guantes impermeables en caso de contacto con muestras contaminadas. Gestión y eliminación adecuada de residuos contaminados.
Bibliografía
- Agence nationale de sécurite sanitaire de l’ alimentation de environnement et du travail (anses). Fiches de dangers biologiques transmissibles par les aliments. Toxoplama gondii. 2021.
- Centers for Disease Control and Prevention (CDC). Guideline for Isolation Precautions: Preventing Transmission of Infectious Agents in Healthcare Settings. 2019.
- Centers for Disease Control and Prevention (CDC). Parasites. Toxoplasmosis. 2018.
- Institut National de Rechercheet de Sécurité (INRS). BAse d'OBservation des Agents Biologiques.Toxoplasma gondii. 2019.
- Instituto Nacional de Seguridad e Higiene en el Trabajo (INSHT). Directrices para la evaluación de riesgos y protección de la maternidad en el trabajo. 2011.
- Instituto Nacional de Seguridad y Salud en el Trabajo (INSST). Notas Técnicas de Prevención. NTP: 376 411, 468, 473, 542, 545, 771, 781, 821, 901, 938.
- Ministerio de Sanidad, Política Social e Igualdad. Protocolos de Vigilancia Sanitaria Específica. AGENTES BIOLÓGICOS. Comisión de Salud Pública. Consejo Interterritorial del Sistema Nacional de Salud. 2001.
- Public Health Agency of Canada. Pathogen Safety Data Sheets and Risk Assessment. Toxoplasma gondii. 2014.
- Red Nacional de Vigilancia Epidemiológica Instituto de Salud Carlos III. Protocolos de la Red Nacional de Vigilancia Epidemiológica. 2015.
- Servicio Riojano de Salud. Precauciones de aislamiento en centros sanitarios. 2008.
- The Center for Food Security and Public Health; Iowa State University. Animal disease factsheets. Toxoplasmosis. 2017.


