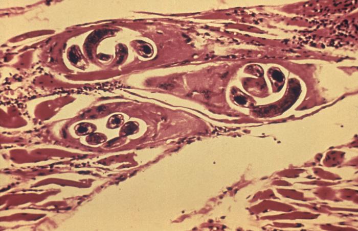
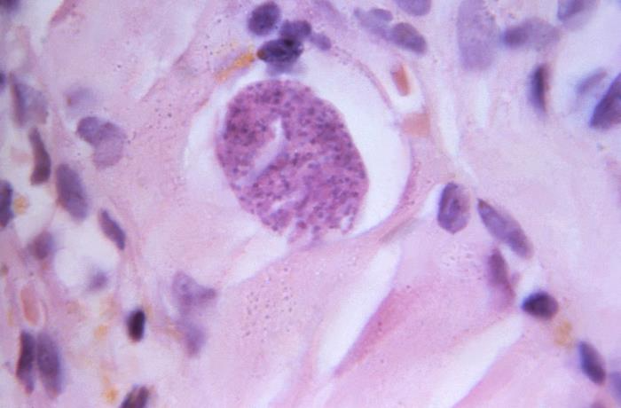
Parásitos

El RD 664/1997, de 12 de mayo, sobre la protección de los trabajadores contra los riesgos relacionados con la exposición a agentes biológicos durante el trabajo; expone en su artículo 2 que se entenderán por agentes biológicos los microorganismos, con inclusión de los genéticamente modificados, cultivos celulares y endoparásitos humanos, susceptibles de originar cualquier tipo de infección, alergia o toxicidad.

Los parásitos son organismos que se asocian biológicamente a otro organismo (huésped) y viven a expensas de él, causándole generalmente daño. A través de esta relación, el parásito utiliza a otros organismos hospedadores para cubrir sus necesidades básicas y vitales.

Los endoparásitos se caracterizan por ser parásitos que desarrollan parte o todo su ciclo vital en el interior del huésped. Se incluyen los protozoos (unicelulares) y los helmintos o gusanos (pluricelulares), que a su vez se dividen en dos filos: los nematodos y los platelmintos. Tienen ciclos de vida complejos, alternando fases de vida libre y parasitaria.

Los principales mecanismos de transmisión de enfermedades parasitarias son por consumo de alimentos o agua contaminados o por penetración directa a través de la piel mediante vectores artrópodos. Algunas de las enfermedades ocasionadas por estos agentes biológicos son malaria o paludismo, leishmaniasis, acantamebiasis, anisaquiasis, ascariasis, amebiasis y giardiasis.

Podemos encontrar exposición en actividades de jardinería, recogida y tratamiento de aguas residuales, agricultura, producción de alimentos, extracción, construcción, actividades sanitarias, aquellas que impliquen contacto con animales o productos de origen animal, fontanería y sistemas de calefacción y aire acondicionado y en restaurantes y puestos de comida.